03-6421-4680
TEL
電話予約
TEL
24時間オンライン予約
RESERVATION
WEB予約
RESERVATION
HOME
初めての方
当院について
STAFF
診療案内
PRICE
院内紹介
ACCESS
求人募集
よくあるご質問
診療時間
月
火
水
木
金
土
日
9:30-18:30
/
●
●
●
●
●
/
最終受付:18:00
休診日:月曜日、日曜日、祝日
03-6421-4680
電話が繋がらない場合はこちら
03-6421-4608
自由が丘DWORKS歯科・矯正歯科
〒158-0083 東京都世田谷区奥沢2丁目38-9 2F
HOME
症例
ダイレクトボンディング
症例
ダイレクトボンディング
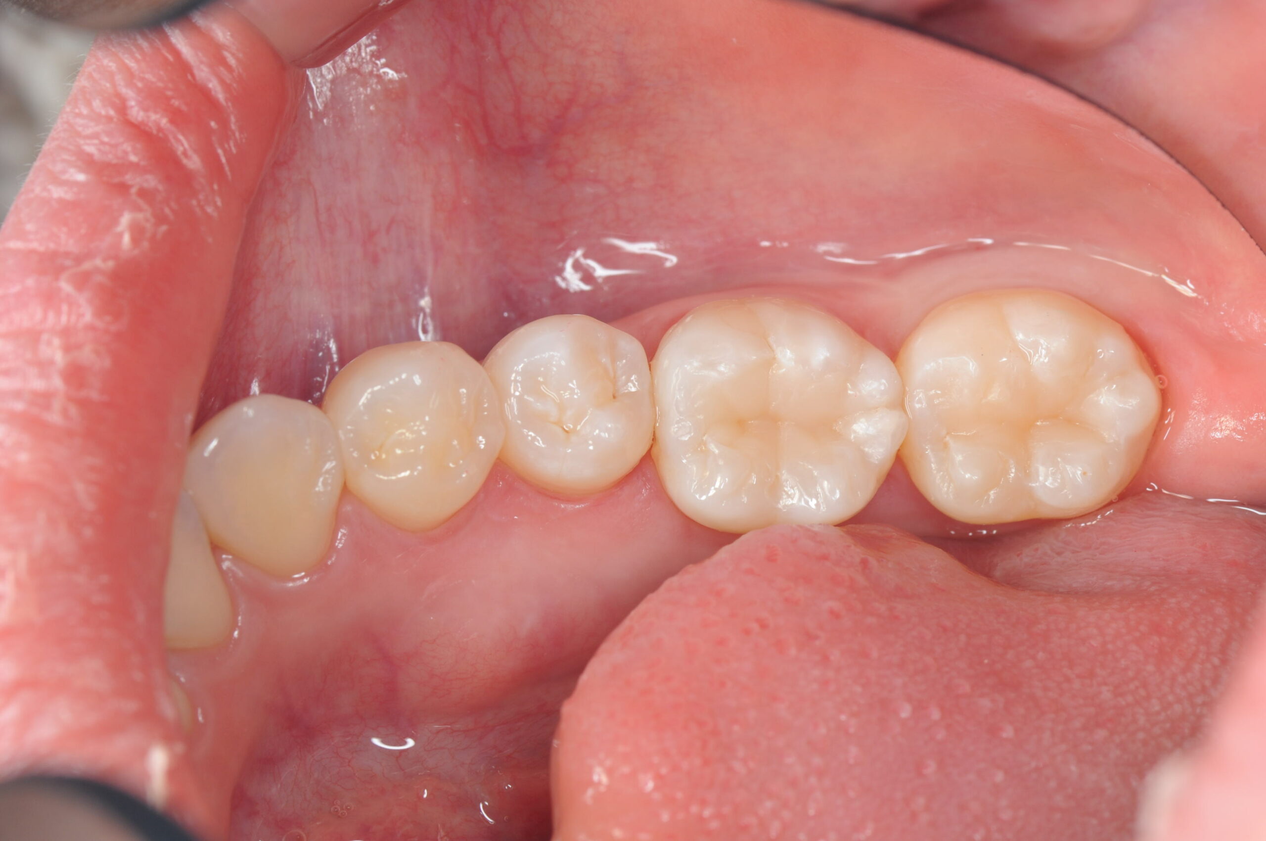
主訴
銀歯を変えたい
治療内容
ラバーダム防湿後、虫歯を除去し、ダイレクトボンディングで審美的、機能的回復を行った。
治療費
ダイレクトボンディング 33000円×2本 計 66000円
リスク
稀に詰め物が欠けたりすることがある
MENU
CLOSE