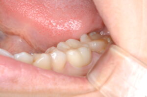
症例
下顎大臼歯をオールジルコニアクラウンで審美的、機能的な補綴処置を行った症例


30代女性
| 主訴 | 奥歯の詰め物が取れた |
|---|---|
| 治療内容 | 元々大きな詰め物が入っており、残存歯質の一部にカリエス(虫歯)を認めたため、カリエスを除去後、支台歯形成を行った。その後一定期間仮歯で問題ないことを確認し、最終補綴処置に移行した。今回のケースは患者の咬合力が強いことと、ブラキシズム、食いしばりの可能性があることからオールジルコニアクラウンを用いて補綴処置を行った。 |
| 治療費 | オールジルコニアクラウン 99000円 |
| リスク | 個人差によりごく稀に欠けたり壊れたりすることがあります。 事前に神経の処置(根管治療)や土台(コア)の処置が必要となることがあります。 かみ合わせ、歯ぎしりの強い方には、破損防止の目的でマウスピースをお勧めすることがあります。 |



