症例
-
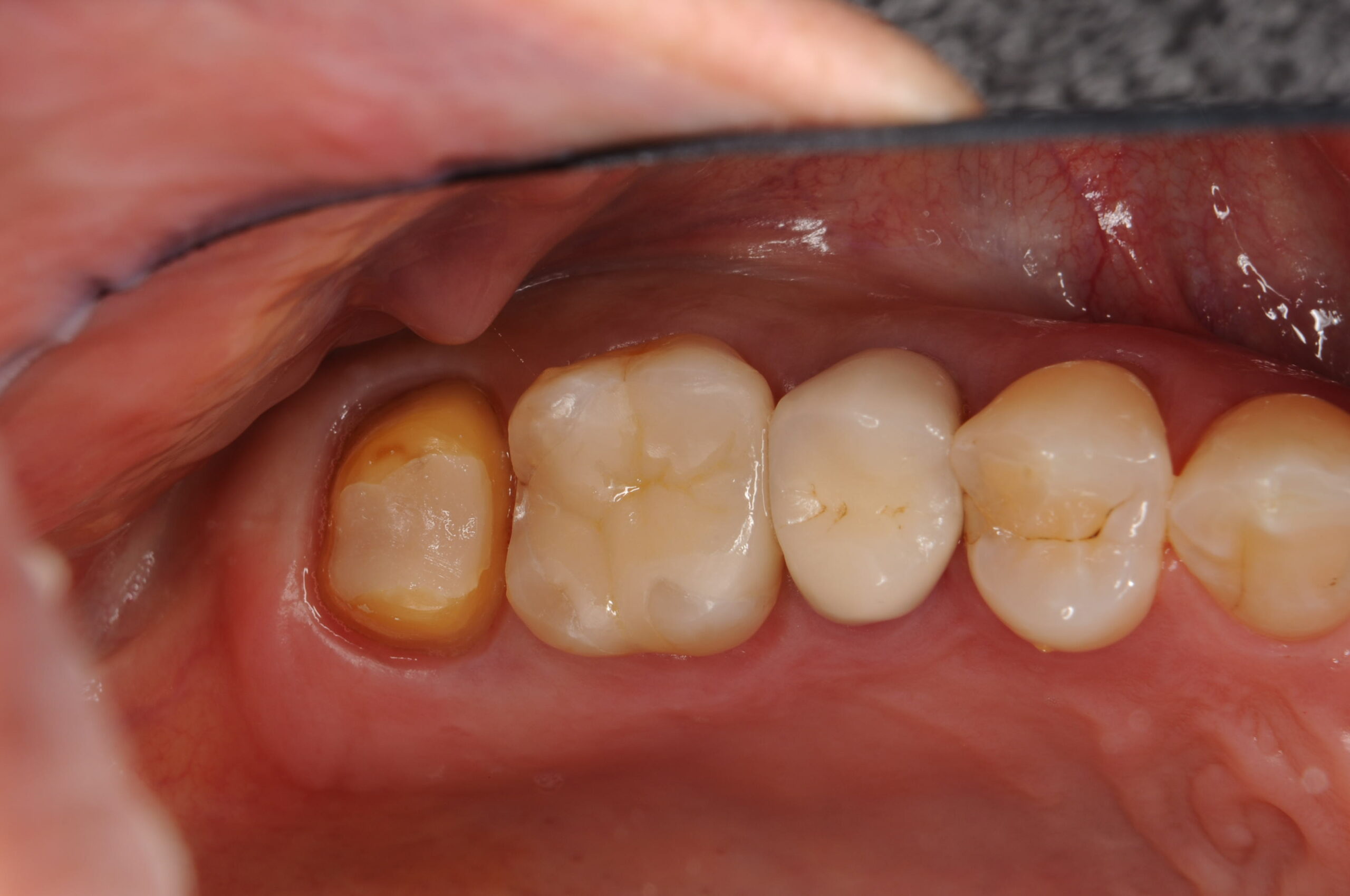
銀歯をオールセラミッククラウン用いて審美的且つ機能的回復を図った症例


40代男性
詳しく見る主訴 銀歯をセラミックに変えたい 治療内容 数年前にいれた銀歯を除去すると、その下にはカリエス(虫歯)ができていたため、カリエスを除去。虫歯は神経まで到達していなかったため、神経は保存した状態で支台歯形成を行い、印象採得(歯型採り)後、仮歯を装着。 後日、e.max pressを用いてオールセラミッククラウンを作製し、口腔内に接着した。 治療費 オールセラミッククラウン 99000円 リスク 個人差によりごく稀に欠けたり壊れたりすることがあります。 事前に神経の処置(根管治療)や土台(コア)の処置が必要となることがあります。 かみ合わせ、歯ぎしりの強い方には、破損防止の目的でマウスピースをお勧めすることがあります。 -
セラミックを用いて自然な美しさを実現した審美歯科治療


30代男性
詳しく見る主訴 前歯が折れた 治療内容 転倒により右上2番の前歯を破折されて来院。以前に一度根管治療(根の治療)を受けられていたが、根尖(根の先)に病巣を認めたため、再根管治療を開始し、治療中は仮歯を装着した。根管治療終了後、ファイバーポスト(土台)を入れた後、前歯部の一本ケースのため自然感を重視しジルコニアセラミッククラウンで修復を行った。 治療費 根管治療(保険内) ファイバーポスト16500円 ジルコニアセラミッククラウン(スペシャル)165000円 リスク 個人差によりごく稀に欠けたり壊れたりすることがあります。 事前に神経の処置(根管治療)や土台(コア)の処置が必要となることがあります。 かみ合わせ、歯ぎしりの強い方には、破損防止の目的でマウスピースをお勧めすることがあります。
